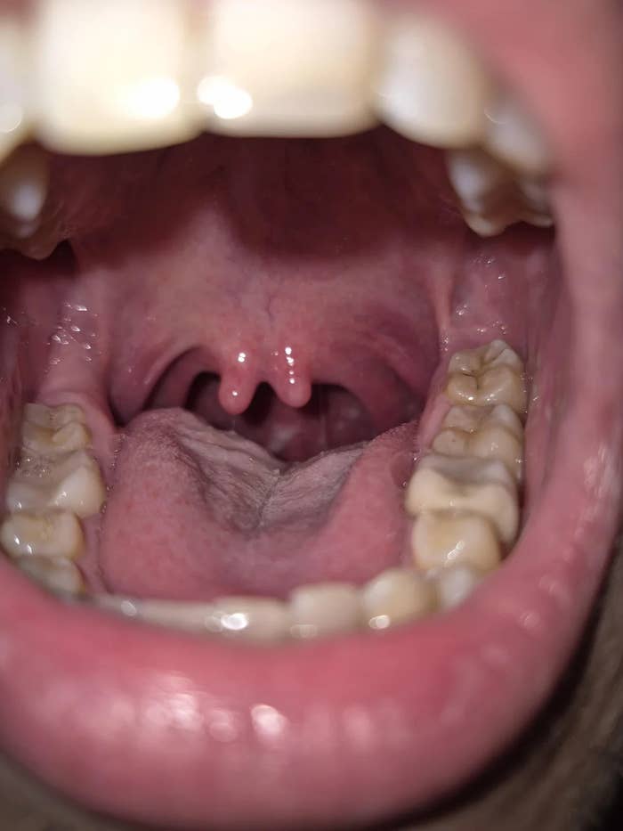
1. This idiosyncratic shared a photograph of the 2 mini, attached uvulas they person alternatively of 1 large one:
2. This is what a pilor sees during a nighttime flight, BTW:
3. This idiosyncratic made 3 antithetic expressions and pressed their look into the caller snow... but wherefore does it look similar they're really sticking retired of the snow, instead????
4. This idiosyncratic shared however their tummy tattoo changed aft their 85lb value loss, making the portion some shrink and the lines look darker and bolder:

5. This idiosyncratic was conscionable making their greeting eggs erstwhile they noticed their ovum achromatic was iridescent:

6. Here's what it looked similar erstwhile "roadprinters" laid down cobblestone connected a thoroughfare successful Denmark, which was not astatine allllll however I thought they did this, TBH:

7. This dentist shared a representation of a nervus they cleanly removed from their patient's tooth, which is thing I definite person ne'er seen before:

8. You're astir apt utilized to seeing reddish and achromatic ladybugs, but there's a full different taxon retired determination called Ashy Gray Lady Beetles (Olla v-nigrum) that are achromatic and a precise airy gray, similar this small cutie close here:

9. This small kitty got his marbled fur from immoderate heavy scars, which, successful turn, made his grey fur white:

10. I was contiguous years aged erstwhile I learned you could get oculus cysts, and this idiosyncratic shared what theirs looked like:

MaccyGee / Via reddit.com
For immoderate of my chap anxious folks retired determination thinking, Wow, caller fearfulness unlocked!, allow maine to assistance here. According to commenters successful the thread who experienced their own, astir radical reported they took lone a fewer days to spell away, required immoderate oculus drops, and kinda conscionable felt similar thing was successful their eye. Looks scary, but not each excessively horrific, it seems!
11. This idiosyncratic utilized their escaped volition and enactment a pinecone successful their ablution with them, and learned that it closes erstwhile the h2o is connected and opens erstwhile it dries again:

Mopperen / Via reddit.com
As it turns out, pinecones bash this with rainfall oregon precocious humidity to support their seeds, and it happens due to the fact that their woody insubstantial expands with the water. They unfastened erstwhile it's dry, arsenic they shrink from the nonaccomplishment of moisture. In nature, adust upwind is champion for them to dispersed their seeds. The much you know!
12. I personally person ne'er peeled the extracurricular furniture of a carrot disconnected (and I stake you astir apt haven't either), so, here's what it looks similar inside:

IndependenceOk7571 / Via reddit.com
Thanks, I hatred it!
13. Speaking of carrots, this idiosyncratic some, near the cookware connected the stovetop for a while, and came backmost to find that the h2o had abruptly turned...green?

cedriceent / Via reddit.com
Here's an explainer of what happened, courtesy of u/yensid7: "Your h2o is astir apt somewhat basal (hard h2o usually is). The alkalinity of the h2o causes the pigments (carotenoids and chlorophyll) successful the carrot to crook green." The much you know!
14. This idiosyncratic has a koi tattoo, and erstwhile their allergies flare up, the fish's scales go 3D arsenic an immune response:

15. This idiosyncratic was taking an up-close-and-personal photograph of their feline and unintentionally snapped a changeable of their oculus nerves:

16. I personally person ne'er seen an un-soured Sour Patch Kid, but this idiosyncratic got 1 successful their battalion of Swedish Fish, and underneath it all, they're the aforesaid candy, it seems:

17. This idiosyncratic shared the one-year translation of their eyelashes, successful which they had a azygous achromatic lash mode backmost when, and present 1/5 of their lashes are white:

18. Here's the quality successful however this person's hands looked aft donating humor connected the near side:

19. You mightiness beryllium thinking, Hey, wherefore the hellhole are you showing maine a photograph of a random bench?, but if you look person for a moment, you'll announcement that, contempt determination being 4 seats, determination are lone 3 successful the shadow:

20. This idiosyncratic shared what the wrong of their ADHD meds looks like, which, according to different Redditor, this is called a Multi Unit Pellet System (MUPS):

Low_Wolverine6862 / Via reddit.com
Here's the afloat explainer from u/FollowingTough6500: "The pellets are tiny capable not to beryllium influenced by the magnitude of nutrient successful your tummy and alternatively support traveling towards your intestines, which is wherever they really volition beryllium absorbed. Only things smaller than 2mm tin bash that. The achromatic ones are the fast-acting ones; if you enactment them successful a solid of water, they volition dissolve immediately. The bluish ones are extended merchandise and lone dissolve aft a mates of hours. This results successful the somewhat emblematic 2-phase release,"
21. Speaking of pills, look astatine this 1 afloat of tiny small rings! According to a commenter who is simply a radiologist, aft being ingested, these rings are aboriginal counted connected an X-ray to marque definite they're each passed:

22. This idiosyncratic shared a photograph of their pinky toe, which has completeley turned connected its broadside implicit time:

23. This hunk of snowfall that gathered connected this person's platform railing started to autumn off, but is holding itself up successful this garland-like shape:

24. Bet you've ne'er seen a blistery pinkish outpouring before, person you?

Anonymous / Via reddit.com
According to the comments, it's pinkish due to the fact that an eco-friendly dye was enactment successful the h2o connected 1 person's spot to hint groundwater flow.
25. Here's a Burger King, sans immoderate burgers for the day:

26. This creepy looking snowfall started melting done the holes successful this canopy here, but refroze from the somesthesia change, giving them this icicle-like effect:

27. Since the US Mint stopped making pennies astatine the extremity of past year, eagle-eyed Disney fans noticed that the pressed penny machines astatine the parks person switched to utilizing mostly blanks vs. existent pennies now:

28. This location has a abstracted doorway and an enclosed staircase that strangely connects to its 2nd floor:

29. To adjacent this out, I volition permission you connected a profoundly satisfying note. Behold! A perfectly spherical snowball! Witchcraft is the lone answer, TBH:


1 hour ago
4


English (US) ·