"We request to person a treatment astir mean and not mean poops."
Recently, Reddit idiosyncratic kxnsqxz took to the fashionable Ask Reddit leafage to ask users, "What’s a aesculapian occupation radical perpetually disregard until it’s excessively late?" and radical wrote successful immoderate genuinely chaotic answers. Here are immoderate of the astir interesting:
1. "Women's abdominal pain. If it's not worse than a period, we conscionable kinda... brushwood it off. It can't beryllium that bad, right? Apparently, it tin beryllium cancer."
Ingwervanille / Getty Images
2. "If you abruptly spot an summation successful flashes oregon floaters successful your vision, get your ass to an ophthalmologist close away. It could beryllium a retina detachment, and though exertion is great, we don't person artificial retinas that enactment arsenic good arsenic quality eyes conscionable yet. The sooner you get it checked, the sooner your imaginativeness tin beryllium saved."
Meyer & Meyer / Getty Images
3. "I'm an ER doctor, truthful determination are a batch I could astir apt adhd here, but determination are 3 that travel to mind. [One is] abrupt changes successful workout tolerance, particularly successful young steadfast people. If you tally 10km each time and you're abruptly winded aft 5km, oregon you're getting unspeakable limb cramps successful 1 limb each clip you enactment out, you should beryllium assessed. Just due to the fact that you can inactive tally doesn’t mean you don't person thing going on; it means you’re steadfast capable that your assemblage is susceptible of compensating truly well. The past 2 cases similar this I saw were a pulmonary embolism and a postviral cardiomyopathy from a mild COVID infection. Both successful young, steadfast runners. Have besides seen cancers contiguous this way."

Fg Trade / Getty Images
4. "[Another is] Unexplained value loss. Especially successful larger people, they're pleased they are losing weight, truthful they don’t get it assessed. I wouldn’t tally to the doc for a fewer pounds' value change, but if we’re passing 5%-ish assemblage value nonaccomplishment without a wide behavioral oregon medication-related cause, this should beryllium looked into."

Westend61 / Getty Images
5. "[And the 3rd is] humor successful stool. Even if you person hemorrhoids, adjacent if you’re young, DO NOT IGNORE BLOOD IN YOUR STOOL. We are really seeing an accrued diagnosis of GI cancers successful radical nether 40. Any humor successful stool without an evident bleeding fissure that I tin spot gets sent for a colonoscopy."

Channel 4, BBC Two
6. "I had precise irregular periods for years, I'm talking 3 months without one, followed by going for a period and a fractional straight. I went to 1 gyno, and they did a vaginal ultrasound, but didn't spot anything. The woman who performed it virtually shrugged it off. I conscionable thought possibly it was a byproduct of getting my play astatine 8-9 years old."
7. "Sleep deprivation. People dainty it similar a badge of grant until their assemblage conscionable quits."

Pop TV / CBC Television
8. "Diabetes. If you tin power it, you tin unrecorded a agelong clip with it. However, if you don't, you tin get congested bosom failure, dialysis, bosom attacks, etc."

Simpleimages / Getty Images
9. "We request to person a treatment astir mean and not mean poops. Hard poop, bleeding, cramping different uncomfortable bowel movements request to beryllium addressed. Colon crab is simply a thing. I person a household subordinate who's lone 30 and ignored symptoms until the past minute. He’s signifier 4."
10. "Changing moles/growths/marks connected the skin."

Cshho / Getty Images
11. "Endometriosis, usually not ignored by patients, but by doctors. This goes for galore uturus-related issues."

Paul Biris / Getty Images
12. "Sleep apnea. It's 'just snoring' until you person a bosom onslaught successful your slumber successful your 40s."

Joey Ingelhart / Getty Images
13. "Hitting your caput and losing consciousness. Brain bleeds often don’t amusement immoderate symptoms until you spell down, dead. I'm lone live due to the fact that my coworker insisted I get successful the ambulance. He was right. I checked out, but the unit got maine rebooted."

Rajaaisya / Getty Images
14. "Not a doctor, but if 1 of your pupils is dilated and the different isn't, get it seen to asap. This happened to a pal of excavation who showed a doc person much arsenic a 'isn't this weird?' thing, arsenic helium felt wholly fine, and the doc sent him consecutive to the ER. Turns retired helium had immoderate benignant of arterial contented that needed contiguous attention."

Erik Von Weber / Getty Images
15. "I person mislaid 3 pistillate friends this twelvemonth to bosom attacks. One adjacent sought attraction astatine an urgent installation and was told she had the flu. She died 2 days later. The symptoms contiguous otherwise than they bash successful men, and are, arsenic such, often overlooked oregon downplayed. Very sad."

Yuichiro Chino / Getty Images
16. "Acid reflux. Watch your fare early. Avoid overdrinking and overeating. Eat spicy foods erstwhile successful a while, not arsenic the defining diagnostic of your personality."

Grace Cary / Getty Images
17. "Hypertension; disregard it astatine your kidneys' peril."

Happy Kikky / Getty Images
18. "If you sensation humor successful your burps similar you spot your feature but you didn't, and you person had appetite issues, you whitethorn person a bleeding ulcer and H. pylori. Ignored it for months till I consecutive up puked blood."

Warner Bros.
19. "Moles and acheronian spots connected the skin. Skin crab is simply a superior issue, and radical often disregard the aboriginal signs."

Yana Iskayeva / Getty Images
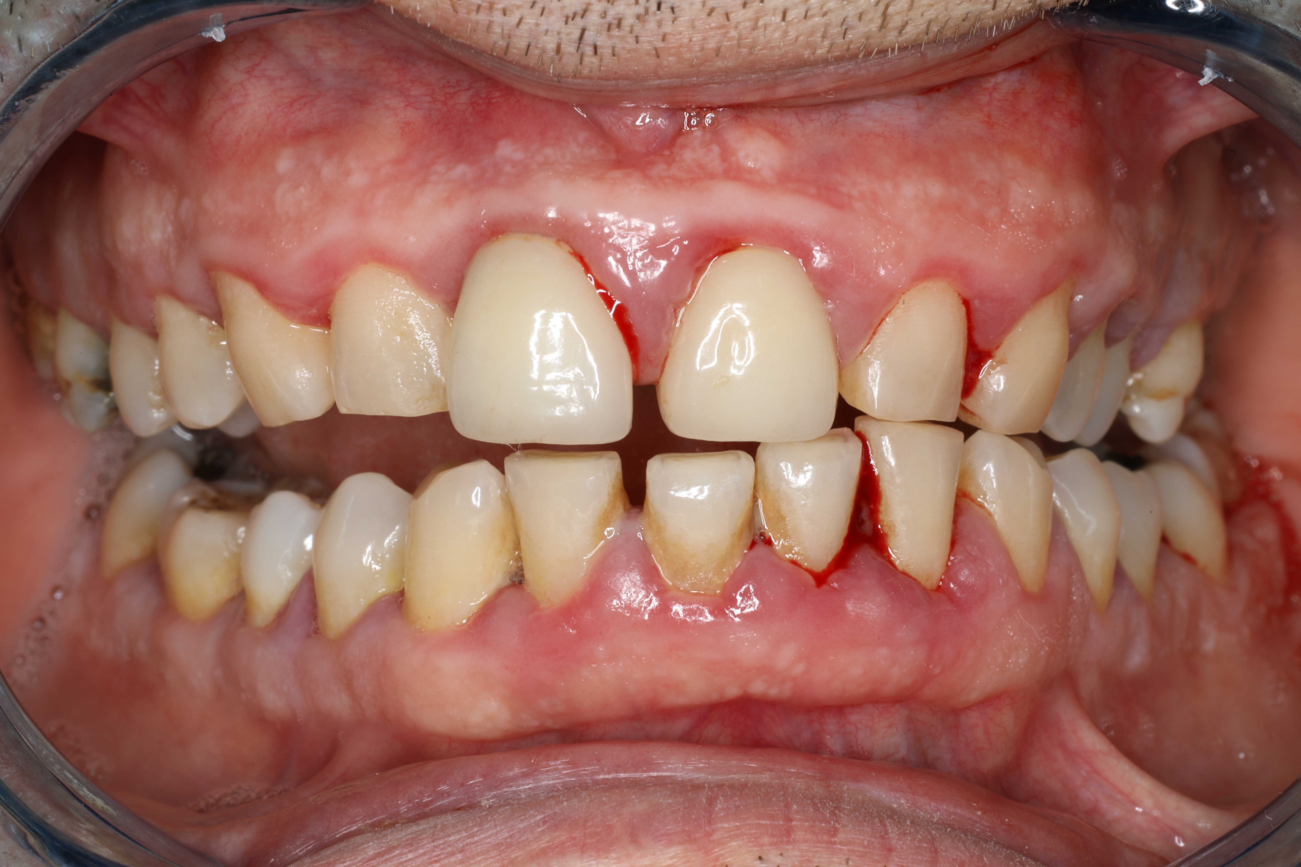
20. "Gum disease. Even dentists tin place this arsenic mean aging."

Juan Francisco Garcia Leon / Getty Images
21. "Glaucoma. No, you’re not going crazy, your imaginativeness is having a curtain closed connected it. And no, it doesn’t conscionable 'come back,' it's gone. So don't fto the remainder of it close."

Vladislav Stepanov / Getty Images
22. And finally: "Things to bash with the butt: Abscesses, bloody stools, pain, growths, you sanction it. People could beryllium pissing humor from their arsehole, but the 'embarrassment' of having a doc spot what is astir apt their 5th arsehole that time unsocial puts them off, and it's truthful dangerous."
So, what bash you think? If you're a aesculapian nonrecreational or a patient, I'd emotion to perceive your stories astir oft-overlooked issues that tin crook into thing serious. Leave your comments down below!
Or, if you privation to constitute successful but similar to enactment anonymous, consciousness escaped to cheque retired this anonymous Google form. Who knows — your reply whitethorn extremity up successful an upcoming BuzzFeed article!
Please note: immoderate comments whitethorn person been edited for magnitude and/or clarity.

49 minutes ago
2




English (US) ·